
Wainscott: 631.658.4101
Southampton: 631.658.4082

Wainscott: 631.658.4101
Southampton: 631.658.4082


New Patients Only
A Limited Time Offer
Flexible Financing Available
Low Monthly Payments
Utilizing latest advancements in technology
Catering to patients of all needs
Caters to patients of all ages
Clear braces are made of ceramic material and are, therefore, less visible on your teeth than metal braces yet are also available with colored elastics.
Clear aligners are a series of invisible, removable, acrylic trays that straighten your teeth like braces. Aligners are tight when initially inserted and become more comfortable with extended wear.
Traditional metal braces are the most common type of braces and are more comfortable today than ever before. Made of high-grade stainless steel, metal braces straighten your teeth using metal brackets and archwires.

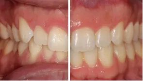
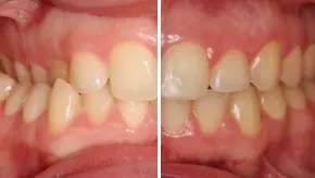
Real Stories from Happy Patients
"Dr. Cartier is a well qualified and passionate Orthodontist. She has attended top schools and is Board Certified, which few Orthodontists are. Being Board Certified indicates a willingness to go the extra mile to stay on top of all the latest procedures. Though education is very important, so is being committed to being the best that you can be in your field, and Dr. Cartier demonstrates this. Dr. Cartier has worked on both my children and the results are truly amazing. Dr. Cartier is clearly one of the most qualified and caring orthodontists, and I highly recommend her."
- David M

"As an adult I found myself needing braces. I inquired with friends to find a good orthodontist, and I received consistently positive recommendations for Dr. Michelle Cartier...in fact no other orthodontist was even mentioned. I scheduled a (free) consultation with her, after which I felt completely confident that she could correct the problems I was having. The results were fantastic. I am very happy I did it. The atmosphere of Dr. Cartier’s office is personable yet professional, and her effervescent personality made my orthodontic experience actually enjoyable. Since that time she has seen both of my children and given them beautiful smiles too."
- Abigail S.

"Dr. Michelle Cartier is approachable, passionate, and professional. Her individualized focus, attention to detail, and willingness to be available for questions or concerns have consistently characterized her style throughout my treatment. Dr. Cartier is a consummate professional, thorough in every regard and quick to reach out for collaboration with other professionals concerning my care when needed. Additionally, she is an absolute delight. Her positive and upbeat manner coupled with her skill has made my orthodontic journey both joyful and successful. And for that, I am thankful.
"
- Jeanie W.




New patients who start qualifying Invisalign or braces treatment can receive complimentary teeth whitening as part of this limited-time offer. Your consultation is also complimentary, so you can learn about your options before getting started.
Yes. Your initial consultation is complimentary and includes an exam, a discussion of treatment options, and a review of financial and payment plan information.
Yes. We work with patients to create payment plans that fit their budget, and we can review financing and monthly payment options during your consultation.
In many cases, yes. We offer Invisalign, clear braces, and traditional metal braces, and your treatment recommendation will depend on your smile goals, orthodontic needs, and exam findings.
Yes. Our offer is intended for new patients and is best positioned as a limited-time promotion. Final eligibility and treatment details can be confirmed at the consultation.
